Structural Brain Damage — ATAXIA
Structural brain damage can cause ataxia when areas of the brain responsible for balance, coordination, and movement control are physically damaged.
This damage may be permanent, and symptoms can be long-term or progressive, depending on the cause and severity.


🧠 What Is Structural Brain Damage?
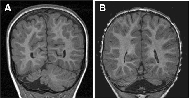
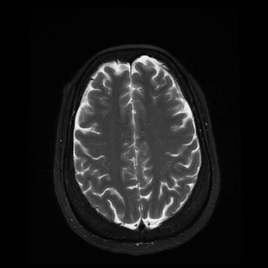
Structural brain damage refers to physical injury or changes to brain tissue that can be seen on brain scans (such as MRI or CT).
In ataxia, this damage most often affects:
- The cerebellum
- The brainstem
- Nerve pathways involved in balance and coordination
Once damaged, these areas may not function normally.
⚠️ Causes of Structural Brain Damage Leading to Ataxia
Structural damage may result from:
- Stroke or reduced blood flow
- Traumatic brain injury (falls, accidents, assaults)
- Brain tumours (benign or malignant)
- Surgical damage to coordination areas
- Long-standing pressure on the brain (hydrocephalus)
- Infections causing brain scarring
- Chronic alcohol-related cerebellar damage
- Congenital brain abnormalities (present from birth)
🚶 Common Symptoms
Ataxia caused by structural brain damage may include:
- Persistent unsteady or wide-based walking
- Poor balance and frequent falls
- Difficulty coordinating arms and hands
- Slurred or slow speech
- Tremor or clumsiness
- Vision or eye-movement problems
- Difficulty swallowing
- Fatigue and reduced stamina
Symptoms are often stable or slowly progressive, depending on the cause.
⚖️ How Structural Damage Affects Daily Life
People may experience:
- Long-term mobility difficulties
- Increased reliance on walking aids
- Challenges with speech or eating
- Reduced independence
- Emotional and psychological impact
The effects vary widely depending on location and extent of damage.
🧑⚕️ Diagnosis
Diagnosis usually involves:
- Neurological examination
- Brain imaging (MRI or CT scans)
- Review of medical history and past injuries
- Ongoing monitoring of symptoms
Imaging helps identify where and how much damage is present.
🧑⚕️ Management & Support
Although structural brain damage cannot usually be reversed, management focuses on maximising function and safety.
Support may include:
- Physiotherapy for balance and mobility
- Occupational therapy for daily activities
- Speech and language therapy
- Vision and swallowing support
- Pain or symptom management
- Mobility aids and home adaptations
- Emotional and psychological support
Rehabilitation can lead to meaningful improvement, even when damage is permanent.
❤️ Key Message
Structural brain damage is a significant cause of long-term ataxia, but supportive care makes a real difference.
With tailored rehabilitation, adaptations, and ongoing support, many people maintain independence, confidence, and quality of life.
Early assessment and consistent follow-up are essential.
Structural Brain Damage — ATAXIA
Structural brain damage can cause ataxia when areas of the brain responsible for balance, coordination, and movement control are physically damaged.
This damage may be permanent, and symptoms can be long-term or progressive, depending on the cause and severity.


🧠 What Is Structural Brain Damage?
Structural brain damage refers to physical injury or changes to brain tissue that can be seen on brain scans (such as MRI or CT).
In ataxia, this damage most often affects:
- The cerebellum
- The brainstem
- Nerve pathways involved in balance and coordination
Once damaged, these areas may not function normally.
⚠️ Causes of Structural Brain Damage Leading to Ataxia
Structural damage may result from:
- Stroke or reduced blood flow
- Traumatic brain injury (falls, accidents, assaults)
- Brain tumours (benign or malignant)
- Surgical damage to coordination areas
- Long-standing pressure on the brain (hydrocephalus)
- Infections causing brain scarring
- Chronic alcohol-related cerebellar damage
- Congenital brain abnormalities (present from birth)
🚶 Common Symptoms
Ataxia caused by structural brain damage may include:
- Persistent unsteady or wide-based walking
- Poor balance and frequent falls
- Difficulty coordinating arms and hands
- Slurred or slow speech
- Tremor or clumsiness
- Vision or eye-movement problems
- Difficulty swallowing
- Fatigue and reduced stamina
Symptoms are often stable or slowly progressive, depending on the cause.
⚖️ How Structural Damage Affects Daily Life
People may experience:
- Long-term mobility difficulties
- Increased reliance on walking aids
- Challenges with speech or eating
- Reduced independence
- Emotional and psychological impact
The effects vary widely depending on location and extent of damage.
🧑⚕️ Diagnosis
Diagnosis usually involves:
- Neurological examination
- Brain imaging (MRI or CT scans)
- Review of medical history and past injuries
- Ongoing monitoring of symptoms
Imaging helps identify where and how much damage is present.
🧑⚕️ Management & Support
Although structural brain damage cannot usually be reversed, management focuses on maximising function and safety.
Support may include:
- Physiotherapy for balance and mobility
- Occupational therapy for daily activities
- Speech and language therapy
- Vision and swallowing support
- Pain or symptom management
- Mobility aids and home adaptations
- Emotional and psychological support
Rehabilitation can lead to meaningful improvement, even when damage is permanent.
❤️ Key Message
Structural brain damage is a significant cause of long-term ataxia, but supportive care makes a real difference.
With tailored rehabilitation, adaptations, and ongoing support, many people maintain independence, confidence, and quality of life.
Early assessment and consistent follow-up are essential.